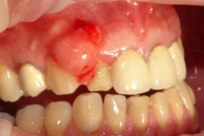
Benign Tumors of the Jaw Bones

Benign jaw tumors are non-cancerous growths that develop in the upper or lower jaw. Though they don’t spread to other parts of the body, they can still cause significant problems — such as facial swelling, jaw pain, loosening of teeth, or difficulty in chewing and speaking. At Faith Hospital, every patient undergoes detailed imaging and diagnosis to identify the exact nature of the tumor. Advanced surgical techniques are used to remove the growth completely while preserving the shape, strength, and appearance of the jaw.

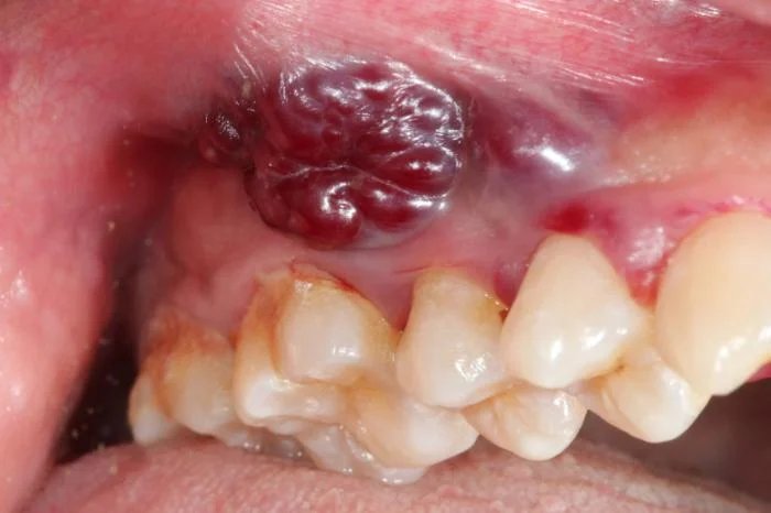
Malignant tumors of jaw bones

Malignant jaw tumors are cancerous growths that can invade surrounding tissues and spread to other parts of the body if left untreated. These may arise from the jawbone itself or extend from cancers of the oral cavity, tongue, or cheek. Symptoms may include persistent pain, swelling, difficulty in opening the mouth, loose teeth, or numbness in the jaw area. Dr. Zuber Vaja, an experienced Head & Neck Cancer Surgeon, provides specialized care for these complex cases. Treatment involves complete tumor removal using advanced surgical techniques, often combined with reconstructive surgery to rebuild the jaw and restore facial appearance.